作者简介:杨佩才(1969—),男,本科,主任医师,研究方向:寄生虫病防治。
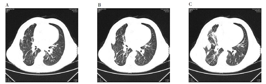
蠊缨滴虫感染在门诊感染中少见,易被忽略。本文通过对1例感染者的就诊过程作一详细描述,供临床医师借鉴。患者,男,62岁。长住连云港赣榆区打工。患者于2020年9月15日淋雨劳累后出现发热,咳痰,自行服药,热退。3 d后再次发热,并伴右侧胁肋部疼痛,遂至赣榆区人民医院就诊。该院检查WBC 19.74×109/L,N 83.7%,超敏C反应蛋白33.19 mg/L;CT示右肺中叶及两下肺叶炎症,右侧胸腔积液。该院给予抗感染及化痰治疗共3 d,效果欠佳。22日转至江苏省中医院,血液示超敏C反应蛋白65.8 mg/L,WBC 11.66×109/L,E 6.9%。CT示两肺多发结节及片状影。肺功能示肺通气功能减退。纤支镜洗液检查示存在感染。同时将纤支镜洗液送南京市疾控中心作寄生虫学相关检查。该院考虑患者肺炎,给予抗真菌及化痰治疗3 d,效果不明显。此时南京市疾控中心反馈寄生虫检测结果示蠊缨滴虫阳性。该院遂加用奥硝唑治疗,一周后患者发热、咳嗽、胸痛等症状消失,相关感染指标均恢复正常,痊愈出院。患者在两家医院以临床医生的经验先后使用抗生素治疗,效果不明显。在确定是蠊缨滴虫(同时还应注意与支气管纤毛柱状上皮细胞相鉴别)后,及时采用奥硝唑治疗,效果显著,症状很快消失。提示临床医生找对病原采用针对性治疗非常重要,蠊缨滴虫在临床感染的患者中少见,又缺乏检测手段,更易漏诊,须警惕。
Lophomonas blattarum infection is rare in outpatients, which is easily to be overlooked. This article briefly introduces the symptoms of an infected person, the examination, differential diagnosis and treatment measures that we have taken for clinical reference. The patient is male, 62 years old, long live and work in Ganyu district, Lianyungang. On September 15, 2020, the patient developed fever, expectoration after the rain, and fever regression after self-medication. Three days later, he developed fever again, accompanied by pain in the right flank, and went to Ganyu District People's Hospital for treatment. With WBC 19.74×109/L, N 83.7%, hypersensitive C-reactive protein 33.19 mg/L; CT showed inflammation in the middle lobe of the right lung and two lower lobes, and effusion in the right pleural cavity. The hospital gave anti-infection and phlegm treatment for 3 days, but the effect was not good. On 22nd, he was transferred to Jiangsu Hospital of Traditional Chinese Medicine. The blood routine showed hypersensitive C-reactive protein 65.8 mg/L, WBC 11.66×109/L and E 6.9%. CT showed multiple nodules and patchy shadows in both lungs. Lung function showed decreased pulmonary ventilation function. Fibrobronchoscopy revealed the presence of infection. Meanwhile, the fibrobronchoscope lotion was sent to Nanjing Center for Disease Control and Prevention for parasitological examination. The hospital considered pneumonia and gave anti-fungal and expectorant treatment for 3 days, but the effect was not good. At this time, Nanjing Center for Disease Control and Prevention reported positive Lophomonas blattarum test results. The hospital then added ornidazole treatment, one week later, the patient's fever, cough, chest pain and other symptoms disappeared, related infection indicators returned to normal, recovered and discharged. In this case, the patient was treated with antibiotics successively in two hospitals according to the experience of clinicians, but the effect was not good. Ornidazole treatment was timely adopted after the identification of Lophomonas blattarum (at the same time, attention should be paid to the identification with the bronciliated columnar epithelial cells), and the effect was significant, and the symptoms soon disappeared. It suggests that it is very important for clinicians to use targeted treatment for pathogens. Lophomonas blattarumis rare in patients with clinical infection and lack of detection means, so it is easier to miss diagnosis, so vigilance should be taken.
蠊缨滴虫隶属于原生动物门(Protozoa), 鞭毛虫纲(Mastigophora), 超鞭毛虫目( Hypermastigida), 缨滴虫科(Lophomonadae), 缨滴虫属(Lophomomasspp.)。滋养体呈圆形或椭圆形, 半透明, 体长10~ 45 μ m。该虫主要寄生于白蚁和蜚蠊的消化道, 可通过食入或者吸入等方式侵入人体的上呼吸道及肺组织中, 引起呼吸道及肺部感染[1]。我国最早于1992年报道了第一例蠊缨滴虫感染的患者[2], 后来陆续有姚国忠[3]报道支气管蠊缨滴虫感染, 王辉萼[4]报道上颌窦感染蠊缨滴虫病, 康素娴[5]报道咽部检到蠊缨滴虫, 陈翠娥[6]报道尿液内发现蠊缨滴虫, 夏英勤、杨懿萍等[7, 8, 9, 10, 11, 12]相继报道了痰液中发现蠊缨滴虫。本中心在一例患者的纤支镜洗液中检出了蠊缨滴虫, 报道如下。
患者, 男, 62岁。江西九江人, 10余年前到连云港赣榆区打工, 并长期居住于此。患者于2020年9月15日因淋雨劳累后出现发热, 咳痰色白量多, 当时测得体温38.5 ℃, 而自行服用退烧药后热退, 咳嗽咳痰仍发作。9月18日夜间再次发热, 体温39 ℃, 咳嗽咳痰甚时牵及右侧胁肋部疼痛, 遂于9月19日早晨至连云港市赣榆区人民医院就诊。该院血常规及超敏C反应蛋白示:白细胞计数19.74
2020年9月22日转至江苏省中医院后, 完善相关检查。血液:超敏C反应蛋白65.8 mg/L, 白细胞计数11.66
肺功能检查结果示:肺活量降低, 潮气量及每分通气量尚正常; 中度混合性肺通气功能减退。纤支镜洗液检查:白蛋白1 g/L, 总蛋白5 g/L, 腺苷脱氨酶3.4 U/L, 乳酸脱氢酶614 U/L, 糖0.15 mmol/L, 氯156.3 mmol/L。同时将纤支镜洗液送南京市疾控中心寄生虫病诊断参比实验室作寄生虫学的相关检查。
根据以上结果, 该院考虑社区获得性肺炎, 隐球菌感染的可能, 遂给予伏立康唑抗真菌, 痰热清静滴+盐酸氨溴索静滴+复方薤白胶囊口服化痰治疗3 d, 患者自觉效果不明显。9月25日南京市疾控中心反馈寄生虫检测结果示:蠊缨滴虫阳性。该院遂加用奥硝唑抗滴虫治疗。一周后患者咳嗽、胸痛等症状消失, 血液超敏C反应蛋白7.28 mg/ L, 白细胞计数8.24
本例患者在连云港市赣榆区人民医院和江苏省中医院先后用抗生素治疗, 由于没有确定病原, 只是根据检验结果提示存在感染(没有明确感染的确切病原), 以临床医生的经验而选用抗生素, 所以治疗效果不明显。在市疾控中心确定是蠊缨滴虫的病原后, 据龚勋等[15]报道, 甲硝唑、奥硝唑等对蠊缨滴虫治疗效果良好, 因此, 建议临床医师及时采用奥硝唑进行针对性的治疗后, 症状消失, 很快痊愈。这提示对于临床上用常规治疗效果不能取得满意的疗效时, 应及时查出感染的病原非常重要。一方面让患者少用没有效果的抗生素治疗, 减轻患者的经济负担以及身体损害, 另一方面, 及时让患者得到有效治疗, 可以减轻患者的痛苦。
肺部感染蠊缨滴虫的临床表现无特异性, 多表现为咳嗽、咳痰、胸痛及发热等肺部炎性症状, 临床上常规使用抗生素治疗效果不明显时, 罗英豪等[14]建议临床医师应及时采用纤支镜洗液或者痰液中寻找蠊缨滴虫诊断为佳。此时应注意与支气管纤毛柱状上皮细胞相鉴别:后者略小, 形态各异, 有柱状、锥状、葫芦状, 也有圆形或者近圆形等[15]。这种纤毛柱状上皮仅有纤毛摆动, 但蠊缨滴虫在常温下不光有鞭毛摆动, 且很容易见到虫体作旋转运动, 这一特征常用于两者的鉴别诊断。故本例患者的主治医师及时采用了纤支镜洗液进行检查, 明确是蠊缨滴虫感染后进而采用了针对性的治疗措施, 效果明显。通过针对性的治疗有效也印证了诊断的正确。
本例患者出生于江西九江地区, 近十余年长期生活工作在江苏赣榆地区, 从事电焊工作, 居住地环境潮湿。我国南方地区温暖潮湿, 适宜蜚蠊、白蚁的生长繁殖, 很容易造成蠊缨滴虫的传播和流行。蠊缨滴虫感染在临床感染的患者中非常少见, 故容易被忽略。一般的医疗机构缺乏专门检测蠊缨滴虫的手段, 容易漏诊, 因而临床上不能及时采取对症治疗, 导致延误病情。
本报道获南京市疾病预防控制中心伦理审查委员会同意批准。
利益冲突声明 所有作者声明不存在利益冲突
编辑:邢翀
| [1] |
|
| [2] |
|
| [3] |
|
| [4] |
|
| [5] |
|
| [6] |
|
| [7] |
|
| [8] |
|
| [9] |
|
| [10] |
|
| [11] |
|
| [12] |
|
| [13] |
|
| [14] |
|
| [15] |
|

